BenchTop ΦX174 DNA/HaeIII Markers

Part Numbers: G7511

2026-de-ge-gewinnspiel-productpage-banner-1600x410-pl
Baner targów Analytica 2026 z stoiskiem Promega, kawą i rozmowami z ekspertami

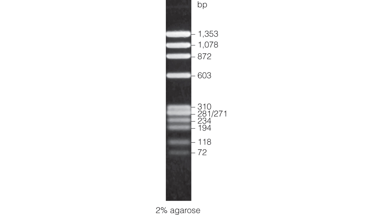
Eleven DNA Fragments of 72–1,353bp

  • Store at room temperature (22–25°C)
  • Premixed with loading buffer; ready to load onto agarose gels
  • Load 5μl/lane
  • Now ships at ambient temperature
  • Intended for Laboratory Use (GPR) in the United States. Outside of the United States, this product is intended for research use only unless otherwise stated

Size

Catalog number selected: G7511

Your price:
Add to Cart
This product is discontinued
This product is available under our Early Access program - Learn More
This product is available under our Catalog (FT) program - Learn More
BenchTop ΦX174 DNA/HaeIII Markers
250μl
Your price: Log in

BenchTop DNA Markers offer the convenience of storage at room temperature (22–25°C) as well as the capability of direct loading onto agarose gels. The BenchTop DNA Markers are supplied in a stabilizing solution of 1X Blue/Orange Loading Dye, making the markers ready to load.

The BenchTop ΦX174 DNA/HaeIII Markers have 11 phenol-extracted, ethanol-precipitated DNA fragments ranging in size from 72bp to 1,353bp.

Now shipping at ambient temperature. Learn more about the quality testing in the white paper.

Download the White Paper

Specifications

What's in the box?

Item Part # Size

BenchTop ΦX174 DNA/HaeIII Markers

G751A 1 × 250μl

Certificate of Analysis

Search by lot number

Use Restrictions

For Laboratory Use. Outside of the United States, this product is intended for research use only unless otherwise stated.

Storage Conditions

HH

Let's find the product that meets your needs.

Talk to a Scientist

scientist-uk-stephen

Stephen

UK